Dos hombres apresados en Altamira tras ser sorprendidos con sacos de cacao sustraídos Por Aneudy Peralta Altamira, Puerto Plata – En horas de la madrugada de...
Santiago, República Dominicana.- Dos adolescentes de 16 y 17 años se entregaron voluntariamente a las autoridades policiales, tras señalárseles como presuntos involucrados en el homicidio del...
Santo Domingo. – Un miembro del Ejército de República Dominicana, identificado como Pablo Araujo Angulo, sufrió gr4ves les1ones físicas durante un incidente de tránsito ocurrido en...
El Blachy lleva ayuda a dos niñas huérfanas tras la tragedia del Jet Set. junio 24, 2025 El Blachy visitas dos de los más de 170...
Diputados aprueban en primera lectura salario extra y bonos para médicos en la frontera La iniciativa busca incentivar a los médicos para que llenen vacíos en...
Ult!man joven de dos disp4ros y luego lo queman en la parte alta de San Francisco de Macorís Durante la madrugada de este martes, fue encontrado...
Hallan sin vida a hombre en establecimiento de San Isidro. San Isidro – Francisco Ignacio fue encontrado sin signos vitales en una cabaña ubicada en la...
Hombre pierde la vida tras intento de robo en El Mamey, Santo Domingo. Santo Domingo.-Un hombre identificado como Melvin Mosquea Mendoza, de 42 años, dejó de...
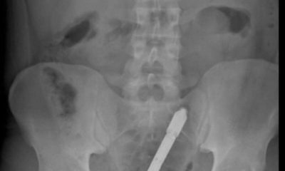
Llevan hombre a hospital de Mao con palo incrustado en parte trasera. junio 24, 2025 VALVERDE.- Una emergencia inusual se presentó la noche del lunes, en...
Tribunal de Hato Mayor reparte 100 años de prisión a red criminal liderada por dos policías Por Irentoni Vega @viphatomayor HATO MAYOR. – El Tribunal Colegiado...